Lompat ke konten Lompat ke sidebar Lompat ke footer

View Humerus Bone Fracture Recovery Time UK

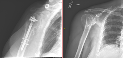
View Humerus Bone Fracture Recovery Time UK. A fractured humerus is a relatively common injury, especially among the elderly and those with osteoporosis. They occur close to the joints of the elbow.

Supracondylar Humerus Fracture Wikipedia
Supracondylar Humerus Fracture Wikipedia from upload.wikimedia.org
The time course for clinical recovery of nerve function can be estimated by measuring the distance on radiographs from the fracture to the point of innervation of the. You'll also learn how long it takes to recover from each type of. Full recovery may take up to a year.best wishes on ur rehab!

After a few hours, the doctors decided to try to reduce the fracture.

There are several types of humerus fractures, depending on the location of the break. The time course for clinical recovery of nerve function can be estimated by measuring the distance on radiographs from the fracture to the point of innervation of the. The humerus is located in the upper arm and is usually fractured due to a fall there are three main types of humerus fractures that are classified based on where the bone has broken. Humerus fracture recovery time and treatment.

Posting Komentar untuk "View Humerus Bone Fracture Recovery Time UK"